Ждём вас на приём
Нажимая на кнопку «Записаться», я даю согласие на обработку персональных данных
Оставьте свои данные 
и мы перезвоним вам в течение 5 минут
Этот веб-сайт использует файлы cookie
окей
Если из-за проблем с зубами вы
Имплант — это высокотехнологичное изделие из титана, которое устанавливается в кость, восполняет отсутствующий корень зуба и несет опорную функцию для коронок.
Импланты позволяют дольше сохранять здоровье соседних зубов, так как они не участвуют в конструкции и жевательная нагрузка распространяется равномерно, а живые зубы не перегружаются.
Даже один проблемный зуб влияет на здоровье всей полости рта и приносит физический и психологический дискомфорт.

Но каждый человек имеет право на счастливую улыбку!
— стесняетесь смеяться и фотографироваться
— не можете позволить себе есть то, что хотите
— вынуждены тратить время и силы на особый уход за полостью рта, установка имплантов повысит качество вашей жизни.
Установка импланта
за 25 000 ₽
На 20% ниже средней цены на рынке
Позвольте себе качество жизни, к которому стремитесь
Сертифицированные импланты
Лучшее соотношение цены и качества среди сертифицированных производителей. Пожизненная гарантия.
Идеальное положение импланта благодаря хирургическому навигационному шаблону
Шаблон минимизирует человеческий фактор и позволяет установить имплант под идеальным углом и в идеальной позиции. Взглянуть на пример живой работы и узнать подробнее об этом инструменте можно в нашем блоге.
Хирургический навигационный шаблон
Этот инструмент позволяет идеально установить имплант, а такой результат мы гарантируем каждому пациенту вне зависимости от того, может ли он позволить себе дополнительные услуги.
Средняя цена такого шаблона в Хабаровске — от 6000 рублей.
Цифровое планирование
Использование соответствующих современных программ позволяет врачу ещё до операции увидеть и определить каждую деталь: состояние костной ткани, точку сверления, фиксацию коронки, глубину канала, наклон импланта и так далее. Так мы исключаем непредвиденные обстоятельства и можем достоверно спрогнозировать результат.
Почему у нас дешевле?
Сами изготавливаем все сопутствующие лечению изделия от каппы до коронок. Для нас это дешевле, чем покупать их — соответственно, стоимость для клиентов также снижается.
Самостоятельно делаем диагностику на своей аппаратуре, при необходимости — сразу на консультации. Вам не придётся тратить деньги на сбор анализов в качестве отдельной услуги в других местах.
Закупаем материалы оптовыми партиями, поэтому цена на них — ниже розничной. За счёт этого мы можем снизить стоимость услуг для наших клиентов.
Наша цель — сделать вашу жизнь лучше
Команда Vivaldi — это увлечённые своим делом специалисты, чья цель — повысить качество жизни клиента.
Для этого врач тщательно изучит вашу ситуацию и запрос, опишет возможные варианты и ответит на вопросы. После первой консультации вы получите полную картину вашего состояния.
Установив имплант в Vivaldi, Вы
— будете чаще улыбаться, не ограничивая себя в положительных эмоциях,
— сможете есть всё, что хотите,
— повысите свой уровень комфорта и быстро забудете о том, что приносило вам, быть может, небольшое, но ежедневное беспокойство.
Все перечисленные выше аспекты делают имплантацию в Vivaldi одним из лучших предложений на рынке.

Приходите на бесплатную консультацию!
Опытные имплантологи Вивальди проходят обучения для совершенствования навыков в установке имплантов и проведения костно-пластических операций.
(01)
(03)
(02)
Impro (Германия) Medentika (Германия)
Straumann (Швейцария)
Osstem, Dentium, MegaGen (Ю. Корея)
Имплантационные системы, которые мы используем
Мы используем имплантационные системы, которые зарекомендовали себя и показывают стабильный результат на протяжении более 10 лет.
2012
2013
2014
2015
Окончил Дальневосточный государственный медицинский университет по специальности «Стоматология»
Интернатура по специальности «Стоматология общей практики»
Профессиональная переподготовка по циклу «Стоматология ортопедическая»
Клиническая ординатура по специальности «Челюстно-лицевая хирургия»
2018
Окончил очную аспирантуру кафедры «Стоматология ортопедическая»
Образование
Дыбов
Дмитрий Аркадьевич
Главный врач.
Врач стоматолог общей практики.
Имплантолог
Гнатолог
Опыт: 12 лет
Cертификаты
2014
Окончила Дальневосточный государственный медицинский университет по специальности «Стоматология»
Образование
Резниченко
Евгения Михайловна
Врач стоматолог-хирург
Имплантолог
Cертификаты
Специалист в области атравматичного удаления ретенированных и дистопированных зубов, зубов мудрости, апикальных хирургических операций, а так же навигационной имплантологии и дентальной имплантации.

2015
Интернатура по специальности «Стоматология общей практики»
Опыт: 10 лет
2016
Профессиональная переподготовка по специальности «Стоматология хирургическая»
2017
Оценка и экспертиза временной нетрудоспособности
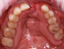
Пациентка Н. обратилась с жалобами на нарушение эстетического вида фронтальной группы зубов верхней челюсти, сколы композитного материала, желанием изменить улыбку. Одним из основных требований было создание более выраженной кривизны улыбки, увеличение визуального объема передней группы зубов, изменение цвета.
Восстановление эстетического вида зубов верхней челюсти
В процессе обсуждения выявлено желание пациентки сформировать «клыковую доминанту» в визуализации улыбки и создание более «агрессивного» типа.
Использование в практике врача стоматолога концепции цифрового анализа улыбки позволяет пациенту оценить прогнозируемый результат, прикинуть «на себе» до момента начала работы, и при необходимости внести индивидуальные коррективы.
Полная интеграция реставраций в эстетику и улыбку пациента.
Результат
Врач
Срок лечения
Дыбов Дмитрий Аркадьевич
3 недели
Стоматолог общей практики
Челюстно-лицевой хирург
Гнатолог
Для врача, это незаменимый инструмент для прогнозирования минимальной толщины препарирования, выбора типа используемой ортопедической реставрации, планирования коррекции десневой эстетики.
По результату принято решение изготовления оксид циркониевых коронок зубов 1.2, 1.1, 2.1, оксид циркониевых виниров зубов 1.3, 2.2, 2.3.
Более подробно ознакомиться с данным клиническим кейсом Вы можете в нашем "Блоге" по ссылке
Пациентка С. обратилась с жалобами на щелчки в области наружного слухового прохода слева, дискомфорт при жевании, повышенный тонус жевательной мускулатуры, нарушение эстетического вида фронтальной группы зубов верхней челюсти, сколы композитного материала, желанием индивидуализировать свою улыбку.
Полная эстетическая реабилитация
В процессе диагностического исследования выявлено: наличие несостоятельных композитных реставраций зубов 1.3, 1.2, 1.1, 2.1, 2.2, 2.3, множественные сколы, дебондинг, рецидивирующий кариес. Патологическая генерализованная стираемость легкой степени, некомпенсированная форма, снижение межальвеолярной высоты. Асинхронность движения суставных головок нижней челюсти, сопровождающихся щелчком слева.
Полная эстетическая реабилитация пациента. Оптимальное позиционирование анатомических структур височно-нижнечелюстного сустава. Нормализация функциональной окклюзии, посредством восстановления дефектов зубных рядов
Результат
Срок лечения
3 месяца
По результату планирования ортопедической реабилитации составлен предварительный план лечения:

1. Выполнения профессиональной гигиены полости рта

2. Изготовление временных эстетических ортопедических конструкций зубов 1.1, .1,2, 1.3, 2.1, 2.2, 2.3

3. Компенсация отсутствующего зуба 4.6 посредством дентальной имплантации.

4. Последовательное восстановление дефекта зубного ряда верхней челюсти безметалловыми конструкциями 1.7, 1.6, 1.5, 1.4, 2.7, 2.6, 2.5, 2.4

5. Восстановление дефектов зубного ряда нижней челюсти безметалловыми конструкциями 3.6 3.7, 4.6, 4.7

6. Изготовление безметалловых конструкций зубов 1.1, 1.2, 1.3 ,2.1 2.2 ,2.3

7. Изготовление оксид-циркониевых виниров зубов 3.3, 3.2, 3.1 4.1 .4.2 ,4.3

8. Изготовление эластичной каппы зубного ряда нижней челюсти, для лучшей адаптации в постреабилитационном периоде.
Использование поляризационного фильтра для оценки монохромности эстетических конструкций в зоне улыбки.
Врач
Дыбов Дмитрий Аркадьевич
Главный врач
Врач стоматолог общей практики
Челюстно-лицевой хирург
Гнатолог
Более подробно ознакомиться с данным клиническим кейсом Вы можете в нашем "Блоге" по ссылке
Пациентка М. обратилась с жалобами на нарушение эстетического вида фронтальной группы зубов верхней челюсти, сколы композитного материала, желанием изменить и индивидуализировать свою улыбку.
Ре-дизайн улыбки
В процессе диагностического исследования выявлено: наличие несостоятельных композитных реставраций зубов 1.4, 1.3, 1.2, 1.1, 2.1, 2.2, 2.3, 2.4 множественные сколы, дебондинг, рецидивирующий кариес.
Эстетическая реабилитация пациента
Оптимальное позиционирование фронтальной группы зубов
Создание гармонии в работе ВНЧС за счет выражения "клыковой направляющей"
Результат
Врач
Срок лечения
Дыбов Дмитрий Аркадьевич
2 недели
По результату планирования ортопедической реабилитации составлен предварительный план лечения:

1. Выполнение профессиональной гигиены полости рта

2. Восстановление дефектов твердых тканей зубов 1.4, 1.3, 1.2, 1.1 ,2.1, 2.2, 2.3 ,2.4

3. Проектирование индивидуальной улыбки, согласно эстетическим требованиям пациента

4. Изготовление безметалловых конструкций зубов 1.4, 1.3, 1.2, 1.1 ,2.1, 2.2, 2.3 ,2.4
Врач стоматолог общей практики
Челюстно-лицевой хирург
Гнатолог
В процессе препарирования восстановлены дефекты твердых тканей зубов
Моделирование будущей эстетической улыбки пациента согласно индивидуальным пожеланиям.
Сравнение полученного результата
Пациентка О., обратилась с жалобами на нарушение эстетического вида улыбки, наличие кариозного поражения твердых тканей зубов, дефекты зубных рядов по причине частичного отсутствия.

Из анамнеза: врожденный костный дефект твердого неба, компенсирован пластикой слизистой оболочки. Зубы 2.1, 2.2. потеряны в результате костного дефекта. Ранее проведено ортодонтическое лечение в течение 3 лет, с целью оптимального позиционирования окклюзионных взаимоотношений зубных рядов верхней и нижней челюстей. Совершенные ранее пластики мягких тканей не дают желаемого удовлетворительного эстетического результата.
Эстетическая модификация
Ортопедическая реабилитация пациента.
Компнесация функциональных и эстетических дефектов зубных рядов верхней и нижней челюстей.
Результат
Срок лечения
3 недели
По результату диагностических данных составлен предварительный план лечения:

1. Выполнение профессиональной гигиены полости рта

2. Проведение интраорального сканирования, с целью планирования ортопедической конструкции зубного ряда верхней челюсти.

3. Проектирование индивидуальной улыбки, согласно эстетическим требованиям пациента

4. Примерка Mock up шаблона будущих ортопедических реставраций, прогнозирование объемов сошлифовывания твердых тканей зубов (одним их принципиальных пожеланий пациента было сохранить витальность зубов, избежать удаления нервов).

5. Изготовление оксидциркониевых ортопедических конструкций: коронок зубов 1.7, 1.6, 1.5, 2.6, 2.7, мостовидной конструкции 1.4, 1.3, 1.2, 1.1 2.1, 2.2, 2.3, 2.5 зубного ряда верхней челюсти, коронок зубов 3.6, 3.5, 3.3, 3.2, 3.1, 4.1, 4.2, 4.3, 4.5, 4.6, 4.7
Адаптация тонуса мимической мускулатуры пациента с целью компенсации эстетического дефекта
Объективно: Частичное отсутствие зубов 1.2, 2.1, 2.2, 3.4, 4.4. Дефект зубного ряда верхней челюсти во фронтальной плоскости - IV класс Кеннеди. Дефект зубного ряда нижней челюсти - двусторонний включенный - III класс Кеннеди, компенсирован посредством ортодонтического лечения. Наличие кариозного поражения твердых тканей зубов 1.1, 1.3, 1.4, 1.5, 1.6, 1.7, 2.3, 2.4, 2.5, 2.6, 2.7, 3.7, 3.6, 3.5, 3.3, 3.2, 3.1, 4.1 ,4.2, 4.3, 4.5, 4.6, 4.7
В области костного дефекта отмечается сквозная щель альвеолярного гребня верхней челюсти, сообщающееся с полостью носа. Барьерную функцию обеспечивают мягкие ткани слизистой оболочки прикрепленной десны и твердого нёба
Визуально отмечается низкий профиль улыбки, за счет неосознанного желания скрыть эстетический дефект посредством тонуса мимической мускулатуры лица и мягких тканей верхней губы
Оценка результата эстетический модификации
Врач
Дыбов Дмитрий Аркадьевич
Главный врач
Врач стоматолог общей практики.
Челюстно-лицевой хирург.
Гнатолог
Более подробно ознакомиться с данным клиническим кейсом Вы можете в нашем "Блоге" по ссылке
Пациентка М. обратилась с жалобами на полное отсутствие зубов верхней и нижней челюстей, несостоятельность ранее выполненных съемных конструкций верхней и нижней челюстей, отсутствие фиксации и стабилизации протезов.

В процессе объективного исследования выявлено: полное отсутствие зубов верхней и нижней челюстей, снижение высоты нижней трети лица, опущение углов губ, снижение активности мимической мускулатуры, формирование «старческого» вида.
Тотальная реабилитация
По результату диагностического исследования СКТ пациента предложен вариант: изготовление полного съемного протеза верхней челюсти, проведение операции дентальной имплантации нижней челюсти по протоколу all on 4.
FP1 – природоподобные зубы
(результат одноэтапной срочной/ одномоментной имплантации).

FP2 – удлиненные зубы
(отсроченная имплантация до 3х лет после потери зуба)

FP3 – конструкций с «десневой эстетикой»
(имплантация при потере зубов от 3х и более лет)
Суть методики all on 4 заключается в точном расчете позиции дентальных опор с целью адекватного распределения жевательной нагрузки.

Во фронтальной плоскости имплантаты устанавливаются максимально параллельно, а в дистальных (дальних) сегментах под углом от 17 до 45 градусов.

Для этого, в программе цифрового планирования операции имплантации Exoplan, проведен расчёт оптимального позиционирования имплантатов в дистальных сегментах нижней челюсти, с учетом состояния костной ткани пациента.
Дизайн конструкции FP3 – подразумевает создание «розовой» части конструкции, имитацию потерянных мягких тканей. Хирургическая коррекция протезного поля сведена к минимуму, позволяет провести операцию без лишних разрезов, по атравматическому типу через навигационный шаблон
( 01 ) На момент начала ортопедической реабилитации пациента: полное отсутствие зубов верхней челюсти, установлены формирователи десневого края, имплантатов зубного ряда нижней челюсти.
Восстановление высоты нижней трети лица, преображение внешнего вида. Пациент снова с удовольствием улыбается и озаряет своим позитивом окружающих и близких.
Результат
Имеющим решающее значение методом для проверки пассивной посадки, является тест Шеффилда (White 1993 год). Тест Шеффилда однозначно показывает припасовку или неправильное прилегание структуры на модели или в ротовой полости. Между структурой связанных слепочных модулей не должно быть никакого зазора. При наблюдении возникновения зазора, налицо имеется неточность пригонки. Последовательная сегментация участков и повторное шинирование модулей снижает риск возникновения неточностей и напряжения в каркасе конструкции.

В выборе варианта окончательно протезирования предпочтение отдается винтовому типу фиксации, т.к. это способствует плановому обслуживанию конструкции, снятию протеза с целью выполнения профессиональных гигиенических манипуляций, а при необходимости - ремонта.

Работа по созданию ортопедической конструкции нижней челюсти выполнена в цифровом протоколе, от уровня сканирования гипсовых моделей челюстей.
Врач
Дыбов Дмитрий Аркадьевич
Главный врач
Врач стоматолог общей практики.
Челюстно-лицевой хирург.
Гнатолог
( 02 ) Установка мультиюнит-абатментов на платформы дентальных имплантатов.
( 03 ) Прикручивание слепочных модулей. Transfer-check.
Для изготовления окончательного протеза рекомендуется использовать титановый каркас ввиду значительных преимуществ:
  • Однородность используемого материала (в сравнении с распространенным использованием кобальта-хромового сплава)
  • Высокая прочность, жесткое шинирование имплантатов
  • Биоинертность материала
  • Высокая точность, за счёт фрезеровки каркаса
  • Долгосрочная надежность
  • Возможность повторного использования при перепротезировании.
Постановка полного съемного протеза верхней челюсти. Припасовка армирующего титанового каркаса на протезном ложе.
Примерка дизайн-прототипа ортопедической конструкции зубного ряда нижней челюсти
Маркировка границы «розовой» эстетики
По результату планирования ортопедической реабилитации составлен предварительный план лечения:
  1. Изготовление навигационного хирургического шаблона нижней челюсти.
  2. Проведение операции дентальной имплантации в области отсутствующих 3.3, 3.5, 4.3, 4.5
  3. Изготовление полного съемного пластинчатого протеза зубного ряда верхней челюсти, изготовление несъемного оксид циркониевого протеза, армированного титановой балкой, с опорой на дентальные имплантаты.
  4. Обучение пользованием дополнительными средствами гигиены и контроль ухода за ортопедическими конструкциями
Анализ клинической ситуации утвердил финальный дизайн будущей ортопедической конструкции.
Зачастую врач опирается на субъективную оценку усилия фиксации слепочных модулей к платформе имплантата, что даёт ложное представление о пассивности и точности прилегания. Рентгенологической проверки фиксации модулей, как качественного критерия для пассивной посадки, так же недостаточно.
CAD - дизайн зубного ряда нижней челюсти смоделирован в ExoCad
Виртуальная имитация движений ВНЧС пациента
Моделирование армирующего каркаса
Готовая ортопедическая конструкция. Оксид циркониевый протез, армированный титановым каркасом с винтовой фиксацией на дентальные имплантаты.
Эстетический улыбки удалось восстановить посредством гармоничной комбинации формы и цвета зубов.
В Вивальди вы всегда можете воспользоваться
Лечением 

в рассрочку
01
Вы можете оформить беспроцентную рассрочку на срок до 2 лет
Налоговым вычетом 13% от государства
Лечением за счет материнского капитала
03
02
От стоимости лечения 

и протезирования зубов
Проходить лечение за счёт маткапитала можно как матери, так и ребёнку
Лечение в рассрочку
В нашей клинике вы можете оформить беспроцентную рассрочку на срок до 2 лет. Лимит рассрочки до 1 000 000р.
Как получить рассрочку?
Для получения рассрочки необходимо пройти диагностику у необходимых специалистов нашей клиники и получить план лечения. После чего обратиться на ресепшен к администратору клиники для оформления необходимых документов — рассрочка платежа предоставляется на срок от 3 месяцев до 2 лет и распространяется на все виды услуг.
Лечение за счет материнского капитала
Проходить лечение за счёт маткапитала можно как матери, так и ребёнку. Такая возможность позволяет сохранить семейный бюджет.
Данная услуга распространяется на:
• протезирование и имплантацию
• исправление прикуса
• лечение кариеса
• эндодонтическое лечение
Чтобы оплатить лечение маткапиталом вам необходимо:
• записаться на прием к стоматологу
• с врачам определить план и стоимость лечения
• предоставить в клинику копию необходимых документов
Заявка будет рассмотрена органом социальной защиты и средства перечислены на счет нашего юридического лица. После этого можно приступить к лечению. На оплату услуг материнский капитал можно расходовать частично или в полном объеме.
Поможем вернуть налоговый вычет 13%
В стоматологической клинике Вивальди вы можете сделать налоговый вычет 13% от стоимости лечения и протезирования зубов. Обозначенная сумма не должна превышать объем перечисленного подоходного налога за один год, в котором производилось лечение. Лимит подлежащей возврату суммы - 120 000 рублей.