Работаем не только с зубами, но и с суставом
👨‍⚕️
После нас
не перелечивают
💯
Работаем с сложнейшими случаями
💡
Сделаем красивую и
ровную улыбку брекетами
за 18 000 руб. / мес.
на бесплатную первичную консультация гнатолога
Дыбов Дмитрий Аркадьевич Главный врач, стоматолог-гнатолог
Сделаем красивую и
ровную улыбку брекетами
за 18 000 руб. / мес.
Акция в клинике брекеты под ключ за 18 000 руб. / мес.
на бесплатную консультацию и получить полный план лечения
ЗАПИСАТЬСЯ В КЛИНИКУ
Щелкает челюсть? Больно широко открыть рот?
⌛️
Не можете полностью открыть рот
🥊
Боли в области уха, мышц лица, шеи
🦷
Зубы болят, но кариеса нет?
🤕
Асимметрия лица. Одна стороны больше другой
👵
Быстро устают мышцы лица? Вечером особенно
🙏
— Если вы не хотите перелечиваться, то консультация гнатолога перед выравниванием зубов необходима всегда и всем!
Зачем и когда нужен гнатолог?
на бесплатную консультацию и получить полный план лечения
ЗАПИСАТЬСЯ В КЛИНИКУ
Расскажем все об установке брекет системы
и соорентируем вас по стоимости
Дыбов Дмитрий Аркадьевич
Главный врач, стоматолог-гнатолог-имплантолог
Ортодонтические пластинки
Специальные съемные и несъемные аппараты, предназначенные для коррекции прикуса у детей в период роста челюстей. Благодаря этим устройствам можно избежать лечения на брекетах.
Брекет-система
Представляет собой приклеенные к зубам замки и дуги. Дуга крепится к замку жестко на защелку. Самый распространенный вид. Лечение длиться от 12 месяцев, посещать стоматолога нужно раз в 1-3 месяца.
Элайнеры
Это прозрачные пластиковые каппы для зубов, которые оказывают щадящее воздействие на зубы, механически смещают их в правильное положение и исправляют прикус.
Как мы делаем зубы ровными
на бесплатную консультацию и получить полный план лечения
ЗАПИСАТЬСЯ В КЛИНИКУ
Какие брекеты выбрать?
Оставьте заявку, наш администратор проконсультирует вас по телефону абсолютно бесплатно в течение 5 минут.
Наши работы До / После
Нижний зубной ряд ALL in 6
Пациентка А., частичное отсутствие зубов, дефект зубного ряда верхней челюсти компенсирован металлокерамическими ортопедическими конструкциями неудовлетворительного качества (нарушение краевого прилегания конструкций
к опорным зубам, дефекты твердых тканей зубов под протезами), планируется замена. Дефекты композитных реставраций фронтальной группы зубов верхней челюсти. Дефект зубного ряда нижней челюсти, не компенсирован ортопедическими конструкциями, установлены дентальные винтовые имплантаты в области отсутсвующих зубов 3.2, 3.4, 3.7, 4.1, 4.4, 4.7
Восстановление функции
Кейс №1
до
после
Наши работы До / После
Нижний зубной ряд ALL in 6
Пациентка А., частичное отсутствие зубов, дефект зубного ряда верхней челюсти компенсирован металлокерамическими ортопедическими конструкциями неудовлетворительного качества (нарушение краевого прилегания конструкций
к опорным зубам, дефекты твердых тканей зубов под протезами), планируется замена. Дефекты композитных реставраций фронтальной группы зубов верхней челюсти. Дефект зубного ряда нижней челюсти, не компенсирован ортопедическими конструкциями, установлены дентальные винтовые имплантаты в области отсутсвующих зубов 3.2, 3.4, 3.7, 4.1, 4.4, 4.7
Восстановление функции
Кейс №1
до
после
Наши работы До / После
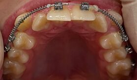
Ортодонтическое лечение
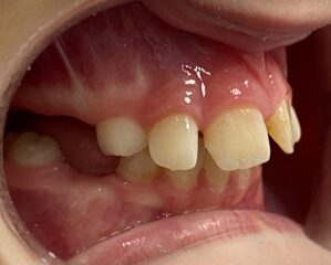
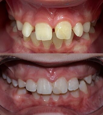
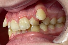
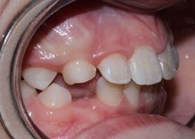
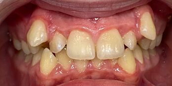
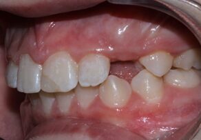
Мама пациентки А. 9 лет обратилась с жалобой на торчащие вперед зубы, которые приносили эстетический дискомфорт дочери. Из анамнеза было выяснено, что девочка неоднократно ударялась и падала, а из-за сильного наклона передних зубов вперед она сломала один из них.

После проведенной диагностики выявлено: сужение верхней челюсти, сагиттальная щель, протрузия (наклон) верхних резцов, промежутки между зубами, инфантильный (неправильный, детский) тип глотания и ротовое дыхание.
Ортодонтия
Кейс №2
до
после
Наши работы До / После
Тотальная реабилитация
Пациентка Л. обратилась с жалобами на нарушение эстетического вида зубов, множественные поражения твердых тканей зубов, частичное отсутствие зубов, затрудненное пережевывание пищи.

Частичное отсутствие зубов верхней (1.4, 1.5, 1.6, 2.4, 2.5, 2.6) и нижней (3.5, 3.7, 4.6) челюстей, снижение высоты нижней трети лица, дистализация прикуса, отсутствие ретрузионного контроля боковой группы зубов, множественные кариозные поражения твердых тканей зубов (1.1, 1.2, 1.3, 1.7, 2.1, 2.2, 2.3, 2.7, 3.1, 3.2, 3.3, 3.4, 4.1, 4.2, 4.3)
Тотальная реабилитация
Кейс №3
до
после
Наши работы До / После
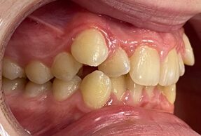
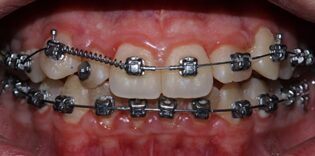
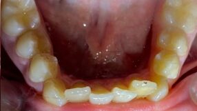
Коррекция в 13 лет
Пациент М. 13 лет обратился с жалобами на торчащие вперед клыки. В ходе беседы с мамой было выяснено, что некоторые молочные зубы были удалены в раннем возрасте, но никаких ортопедических конструкций ребенок не носил и ортодонтическое лечение не проходил. Это и стала одной из причин развития данной патологии.

После проведения диагностики, выявлены следующие аномалии зубов и зубных рядов: дистальная прикус с наклоном резцов верхней челюсти в сторону неба…
Ортодонтия
Кейс №4
до
после
Наши работы До / После
Коррекция в 13 лет
Пациент М. 13 лет обратился с жалобами на торчащие вперед клыки. В ходе беседы с мамой было выяснено, что некоторые молочные зубы были удалены в раннем возрасте, но никаких ортопедических конструкций ребенок не носил и ортодонтическое лечение не проходил. Это и стала одной из причин развития данной патологии.

После проведения диагностики, выявлены следующие аномалии зубов и зубных рядов: дистальная прикус с наклоном резцов верхней челюсти в сторону неба…
Ортодонтия
Кейс №4
до
после
Пациентка А., частичное отсутствие зубов, дефект зубного ряда верхней челюсти компенсирован металлокерамическими ортопедическими конструкциями неудовлетворительного качества (нарушение краевого прилегания конструкций к опорным зубам, дефекты твердых тканей зубов под протезами), планируется замена. Дефекты композитных реставраций фронтальной группы зубов верхней челюсти. Дефект зубного ряда нижней челюсти, не компенсирован ортопедическими конструкциями, установлены дентальные винтовые имплантаты в области отсутсвующих зубов 3.2, 3.4, 3.7, 4.1, 4.4, 4.7
Нижний зубной ряд ALL in 6
С целью компенсации потери зубов, предложено изготовление несъемной ортопедической конструкции зубного ряда нижней челюсти из оксида циркона с опорой на дентальные имплантаты по методике all-on-6, креплением на мультиюниты имплантационной системы Impro.
Примерка прототипа несъемной ортопедической конструкции из фрезерованной пластмассы (РММА), оценка окклюзионных контактов, коррекция протезного ложа конструкции. Фиксация прототипа на период адаптации к «новому» прикусу.
Спустя 2 недели адаптации к ортопедической конструкции нижней челюсти, оценка мягких тканей, слизистой оболочки полости рта, дикции и фонетический анализ, жевательной эффективности.
Изготовление постоянной ортопедической конструкции из оксида циркона методом фрезерования, с индивидуализацией красками ZirkonZahn. В полости рта, на прямые мультиюнит-абатменты установлены фиксирующие колпачки.
Постоянная фиксация несъемной ортопедической конструкции с винтовым типом соединения.
Срок лечения
4 месяца
Врач
Дыбов Дмитрий Аркадьевич
Главный врач
Врач стоматолог общей практики
Имплантолог
Гнатолог
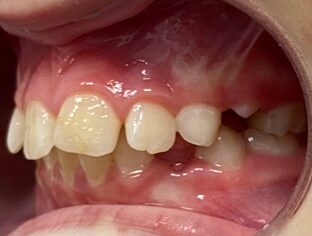
Пациент М. 13 лет обратился с жалобами на торчащие вперед клыки. В ходе беседы с мамой было выяснено, что некоторые молочные зубы были удалены в раннем возрасте, но никаких ортопедических конструкций ребенок не носил и ортодонтическое лечение не проходил. Это и стала одной из причин развития данной патологии.

После проведения диагностики, выявлены следующие аномалии зубов и зубных рядов: дистальная прикус с наклоном резцов верхней челюсти в сторону неба, глубокая резцовая окклюзия, сужение зубных рядов на верхней и нижней челюстях, вестибулярное положение клыков на обеих челюстях, смещение косметического центра на нижней челюсти вправо.
Коррекция в 13 лет
Врач
Срок лечения
22 месяца
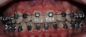
Принято решение о лечении при помощи брекет-системы на обеих челюстях.

Перед тем как приступить к фиксации аппаратуры, пациенту необходимо было удалить неправильно расположенные восьмые зубы на верхней и нижней челюстях.
Фиксация аппаратуры производилась в два этапа: сначала на верхнюю челюсть, через 2 месяца – на нижнюю челюсть.
Этап создания места для зубов и подключения клыков на обеих челюстях к общей дуге спустя 8 месяцев от начала лечения.
Через 11 месяцев было создано место для всех зубов. Так как прикус дистальный с бугорковым соотношением зубов, пациенту были назначены легкие эластики от верхних клыков к нижним пятым зубам справа и слева, режим ношения которых постоянных, снимать только во время еды и чистки зубов.
В связи с выполнением рекомендаций по режиму ношения эластиков, нам удалось исправить неправильный прикус в течение 6 месяцев.
Лечение было осуществлено в течение 22 месяцев, сложность которого заключалась в следующем.
Пациент находился в пике роста, эта фаза наиболее благоприятная для ортодонтического лечения и является одним из фактором для лечения без удаления зубов.
Но соблюдения рекомендаций по ежедневной гигиене полости рта не было, хотя на приеме неоднократно показывались методы чистки зубов при помощи ортодонтической щетки и ершиков, и после снятия брекет-системы на зубах остались очаги деминерализации (пятна белого цвета, являющиеся начальной стадией кариеса).
Поэтому мы настоятельно рекомендуем пациентам соблюдать абсолютно все рекомендации врача-ортодонта для того, чтобы не только получить красивые ровные зубы и правильный прикус, но и здоровые зубы!
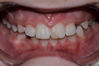
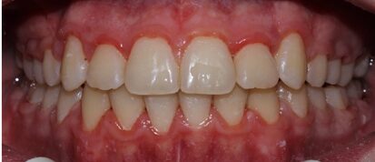
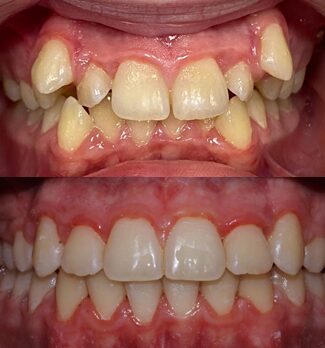
Мама пациентки А. 9 лет обратилась с жалобой на торчащие вперед зубы, которые приносили эстетический дискомфорт дочери. Из анамнеза было выяснено, что девочка неоднократно ударялась и падала, а из-за сильного наклона передних зубов вперед она сломала один из них.

После проведенной диагностики выявлено: сужение верхней челюсти, сагиттальная щель, протрузия (наклон) верхних резцов, промежутки между зубами, инфантильный (неправильный, детский) тип глотания и ротовое дыхание.
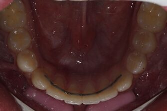
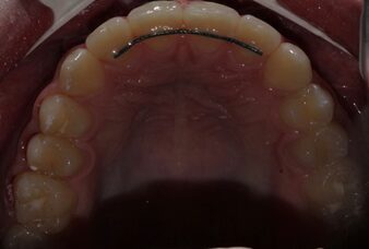
Ортодонтическое лечение
Врач
Срок лечения
8 месяцев
Действительно, одним из условий формирования сагиттальной щели между зубами верхней и нижней челюстей является протрузия резцов (наклон зубов вперед, в сторону губ) – одна из причин травм передней группы зубов.

У данной пациентки сагиттальная щель сформировалась в результате нарушения носового глотания, причиной которой были гипертрофированные глоточные миндалины – аденоиды, нарушавшие дыхание через нос и способствующие формированию неправильного дыхания через рот.
При таком типе дыхания у детей язык находится на дне полости рта (а должен быть на небе), в результате чего не происходит формирования достаточной ширины верхней челюсти, сужению зубных рядов.

При таком положении языка, он упирается в зубы, тем самым провоцируя их наклон вперед.
Врач-ортодонт разъяснил необходимость лечения травматически опасного наклона передних зубов на верхней челюсти и предложено использовать для этого частичную брекет-систему на верхней челюсти, состоящая из 6 замочков, которые крепятся только на резцы и первые моляры.

Помимо этого, проводилась миогимнастика для правильного глотания, которая состояла из комплекса упражнений и способствовала перестройки языка в правильное положение. Параллельно осуществлялось лечение у отоларинголога.
Благодаря работе со смежными специалистами в других областях медицины, мы смогли добиться в течение небольшого срока (8 месяцев) не только отличных эстетических результатов, но и исключить риск рецидива данной патологии, так как проводили лечение не только по выравниваю зубов, но и по устранению причин, приводящих к патологии зубочелюстной системы (в данном случае, это лечение заболевания ЛОР-органов, с восстановлением носового дыхания и правильного типа глотания).
Пациентка Л. обратилась с жалобами на нарушение эстетического вида зубов, множественные поражения твердых тканей зубов, частичное отсутствие зубов, затрудненное пережевывание пищи.
Тотальная реабилитация
Частичное отсутствие зубов верхней (1.4, 1.5, 1.6, 2.4, 2.5, 2.6) и нижней (3.5, 3.7, 4.6) челюстей, снижение высоты нижней трети лица, дистализация прикуса, отсутствие ретрузионного контроля боковой группы зубов, множественные кариозные поражения твердых тканей зубов (1.1, 1.2, 1.3, 1.7, 2.1, 2.2, 2.3, 2.7, 3.1, 3.2, 3.3, 3.4, 4.1, 4.2, 4.3, 4.4, 4.5, 4.7), сколы керамической облицовки металлокерамической конструкции (3.6, 3.7, 3.8), установлены формирователи десневого края имплантатов отсутствующих зубов 1.4, 1.6, 2.6. Со слов пациента: в момент установки формирователя десневого края отсутствующего зуба 2.4 произошло вывихивание имплантата.

Одним из основных требований было воссоздать клыковую доминанту, подчеркнуть агрессивный тип формы улыбки, изменить цвет зубов в яркую сторону.

Врач
Дыбов Дмитрий Аркадьевич
Главный врач
Врач стоматолог общей практики.
Имплантолог
Гнатолог
  • Проведение профессиональной гигиены полости рта
  • Проведение операции дентальной имплантации отсутствующего зуба 2.4
  • ТРГ в боковой проекции, анализ Рикетса, расчёт фиксации высоты прикуса
  • Изготовить оксид циркониевые коронки зубов 1.7, 1.3, 1.2, 1.1, 2.1, 2.2, 2.3
  • Изготовить оксид циркониевую конструкцию с опорой на дентальные имплантаты 1.4, 1.5, 1.6
  • Сплинт-терапия с целью позиционирования мыщелков нижней челюсти в центральной позиции суставной ямки
  • Изготовить оксид циркониевые коронки зубов 3.6, 3.5, 3.4, 3.3, 3.2, 3.1, 4.1, 4.2 ,4.3, 4.4, оксид циркониевую мостовидную конструкцию 4.5, 4.6, 4.7
  • Изготовить оксид циркониевую конструкцию с опорой на дентальные имплантаты 2.4, 2.5, 2.6
  • Обучение пользованием дополнительными средствами гигиены и контроль ухода за ортопедическими конструкциями
По результату диагностического исследования СКТ пациента составлен предварительный план ортопедической реабилитации:
В процессе объективного исследования выявлено:


Конструкции из диоксида циркония обладают самым высоким сроком использования. При нормальных условиях способны прослужить от 20 до 25 лет. Они почти не подвержены стиранию. Циркониевые коронки в точности повторяют цвет, форму, оттенок, рельеф и форму здоровой зубной эмали, что отлично подходит для коррекции зубов переднего ряда.

Исправление прикуса
в рассрочку за 18 000 руб. / мес.
Лечитесь сейчас — платите потом. В нашей клинике есть возможность лечения в рассрочку. Приходите на бесплатную консультацию, просчитаем стоимость лечения под вас.
Отзывы пациентов
Отзыв
Виктория
В
Очень комфортно, современное оборудование, приятный персонал, и самое главное хорошие и доброжелательные врачи, профессионалы своего дела! Всю жизнь боялась стоматологов, а здесь чувствую себя максимально спокойно! ❤️
Отзыв
Рустам
Р
Уже не первый год лечусь тут и могу смело порекомендовать! Все врачи работают на ура. Всегда по записи, материалы используют качественные. Всем доволен.
Отзыв
Влад
В
Врачи отличные, всегда готовы ответить на вопросы. Установка брекетов прошла успешно, чувствую себя хорошо, хотя челюсть болит иногда.
Отзыв
Анастасия
А
Отличная стоматология. Вежливый персонал и хорошее лечение. Гигиена и лечение проходят без боли и страданий. Тактичный подход специалистов. Спасибо за заботу и терпение ❤
Отзыв
Порфирий
В
Огромное спасибо Полине Александровне и Анне Александровне за профессионализм, заботу и квалифицированную помощь моей морде лица и зубам! Большое спасибо за то, что вы есть,))
Отзыв
Максим
В
Лечусь только тут! качество услуг радует, принимают всегда по записи, еще ни разу задержки не было
Отзыв
Раиса
В
Приятная новая стоматология, всё современно, продумано и подобрано дизайнерами. Современное новое оборудование. Наглядный «образовательный» материал для показа клиентам )
Отзыв
Екатерина
В
Стоматология классная, всей семьей ходим. Место ожидания удобное, врачи с опытом
Отзыв
Эвелина
В
Пришла с резкой болью в десне, оказалось что0то с нервом. Спасибо, что оперативно приняли и сделали все безболезненно!
Вивальди —
клиника стоматологии, нацеленная на углубленное лечение зубов
Дыбов Дмитрий Аркадьевич
главный врач, врач стоматолог общей практики, челюстно-лицевой хирург, гнатолог
Мы не просто лечим симптомы, а глубоко и досконально изучаем причины патологии сустава ВНЧС и устраняем их. Таким образом, получаем эффективный результат лечения.
Придя к нам на прием, вы точно оцените наш уникальный подход и убедитесь в том, что нам можно доверить свое здоровье.
Наша команда врачей
Ответы на вопросы
Исправление прикуса

в рассрочку за 18 000 руб. / мес.
Исправление прикуса

в рассрочку за 18 000 руб. / мес.